Tooth Decay and Oral Hygiene During Orthodontic Treatment

Aug 22, 2024
Maintaining regular dental cleanings , brushing twice daily and flossing your teeth is a vital step in keeping your teeth and gums healthy during orthodontic treatment. Orthodontists do not generally offer dental cleanings and do not screen for tooth decay at appointments, so seeing your dentist during your orthodontic treatment is important. In this article, you will learn about:  

Dental hygiene before starting orthodontic treatment

  Before starting orthodontic treatment, you should have a dental cleaning within the last 6 months and address any decay/cavities. It is also important that your gums are healthy and that you do not have any active periodontal disease like gingivitis or gum recession before starting orthodontic treatment.   While putting your teeth in a more optimal position can help your overall dental health, active gum disease and cavities can worsen during braces or Invisalign treatment and cause more severe issues, including loss of teeth.   Your orthodontist may check with your dentist to ensure you don’t have cavities and that your gums are healthy before starting orthodontic treatment.
Aligner tray illustration
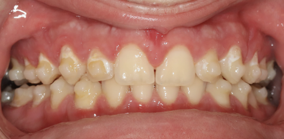
Redness, swelling, and bleeding of the gum tissues can be an indication of Gingivitis, a type of periodontal disease.
tipping molar illustration
Reduced gum tissue covering the teeth can indicate gum recession.
Happy family
 

Preventing tooth decay while wearing braces and Invisalign

  Dental cleanings every 6 months (or more often as needed) and brushing twice a day during your orthodontic treatment will help reduce the risk of tooth decay during braces and Invisalign treatment.   Braces can trap food on your teeth and make it more difficult to keep them clean, so you will need to spend extra time brushing and flossing to avoid cavities.   During Invisalign treatment, rinsing your mouth with water before putting your aligners back in can help cleanse your teeth and mouth, helping you avoid cavities. You do not need to brush after eating as long as you brush twice a day and floss daily.   If Phase I treatment is not recommended, annual visits are standard to monitor the eruption of your child’s tooth and jaw development.  

Signs of tooth decay/cavities with braces or Invisalign

  Tooth decay can be both felt and seen. Sensitivity to hot or cold foods/drinks and/or sharp pain when biting down can be a sign of tooth decay. Dark spots in the groves of your teeth can be an indication of a cavity. White spots around your braces brackets or your Invisalign attachments and gum inflammation can indicate that your teeth and gums are not being properly cleaned.   If you notice any of these signs, consult with your dentist so that they can diagnose if you have any active decay.   Your teeth will be sensitive while they are being moved during orthodontic treatment, so it’s important to note that not all sensitivity is a sign of decay.
Aligner tray illustration
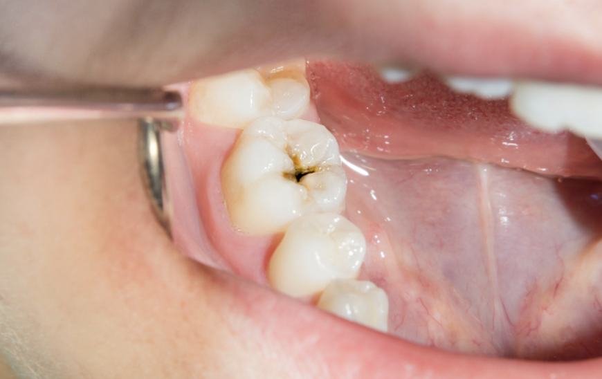
Dark spots on your teeth can be an indication of a cavity.
tipping molar illustration
Discoloration and white spots around Invisalign attachments and gum inflammation are indicators of poor oral hygiene during Invisalign treatment.
 

Tooth decay during orthodontic treatment

  Sometimes your dentist will recommend treating your cavity right away, whereas other times it might make sense to wait.   If you are nearing the end of your set of Invisalign aligners, it might be best to wait until you are in your last aligner before getting the decay treated. After the decay is treated, your orthodontist can scan for retainers or more aligners.   If you are not nearing the end of a set of Invisalign aligners or if the decay needs to be treated right away, then it would be best to schedule an appointment to get the decay treated and bring your current aligner to the appointment so that the dentist can verify the aligner fits well after the treatment has been done. Then at your next orthodontic appointment, your orthodontist will verify the fit of your aligners. If the aligners are not fitting well, your orthodontist may recommend scanning for a new set of aligners.   During treatment with braces, your dentist may request that your orthodontist remove the wire and any brackets that will be in the way for treating your decay. Following your dental treatment, you will return to your orthodontist the same or the next day to have the wire and brackets replaced.    

Tooth decay after orthodontic treatment

  Aligned and properly spaced teeth are easier to clean than misaligned and overlapping teeth. Aligning your teeth with orthodontics can make it easier to properly brush and floss your teeth, making you less susceptible to cavities. However, if good brushing is not maintained during orthodontic treatment then you may be more susceptible to cavities after treatment.  
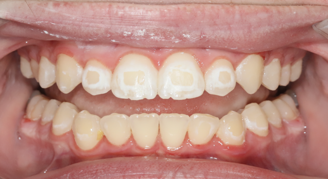
Aligner tray illustration
tipping molar illustration
Before and after braces treatment: White spot lesions are decalcification of tooth enamel, caused by poor oral hygiene and a build-up of bacteria
Happy family
 

Can Orthodontists Fill Cavities?

  While orthodontists are given the training to fill cavities, most will recommend that you see your general dentist for this treatment since you will need to continue your care with them after orthodontic treatment anyway.    

The Takeaway

  At Garfinkle Orthodontics, our goal is to provide you with a healthy, beautiful, and long-lasting smile. When you come for a consultation, we will let you know if we have concerns about your dental health. At times, we may refer you to a specialist to ensure that your teeth and gums are healthy before starting your orthodontic treatment. During your braces or Invisalign treatment, we will monitor your oral hygiene and let you know if there are areas that could be improved.
We're conveniently located in SW Portland, serving Beaverton, the Pearl District, Lake Oswego, and surrounding areas.

Start your smile transformation today

Are you ready to smile with confidence? Garfinkle Ortho can help you achieve the smile you’ve always wanted. Contact us today to schedule a consultation and learn more about our services.
schedule an appointment